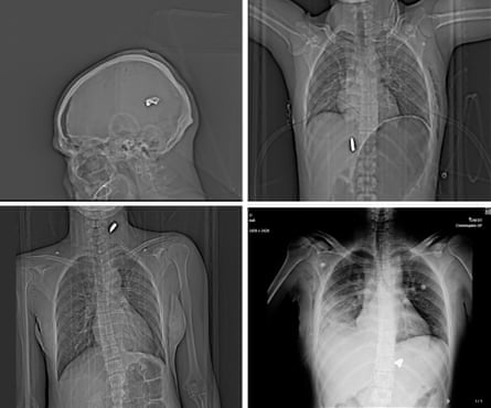
Across the planes of Anahita’s* face, white dots shine like a constellation. Some gleam from inside the sockets of her eyes, others are scattered over the young woman’s chin, forehead, cheekbones. A few float over the dark expanse of her brain.
Each dot represents a metal sphere, about 2-5mm in size, fired from the barrel of a shotgun and revealed by the X-ray camera for a CT scan. Shot from a distance, the projectiles, known as “birdshot”, spray widely, losing some of their momentum. At close range, they can crack bone, blast through the soft tissue of the face, and easily pierce the eyeball’s delicate globe. Anahita, who is in her early 20s, has lost at least one eye, possibly both.
The image of Anahita’s head is one of more than 75 sets of medical images – primarily X-rays and CT scans – shared with the Guardian from one hospital in a major city in Iran, taken over the course of a single evening during the regime’s January crackdown on protesters. The plain, grayscale images tell their own story of the deadly violence inflicted on protesters and onlookers by Iran’s Islamic Revolutionary Guard Corps (IRGC).
They provide further evidence of events described by doctors and protesters across Iran, where guards switched from more traditional ‘crowd control’ to opening fire with high-calibre assault rifles and shotguns. The records present a pattern of people being shot in the face, chest and genitals, a trend also seen in the 2022 “Women, life, freedom” protests. Collectively, they help to illustrate the scale of bloodshed, showing dozens of life-threatening injuries appearing at a single hospital in a midsize city within a few hours.
Many of the images reveal catastrophic injuries that may be fatal even with immediate surgical treatment. The scan of Vahid*, a young man, shows a large-calibre bullet embedded in his neck, his trachea pushed to the right as blood pools and the damaged tissue swells. Scans of another man, middle-aged, show a bullet suspended in his brain, along with a large bubble of gas inside the skull, indicating a devastating brain injury. Medical experts describe it as “likely not survivable”. Two more young men have large-calibre bullets lodged next to their spines. The scan of a young woman shows a deformed bullet that appears to have entered the ribcage under her right arm, torn through the lung, where gas and blood have built up, and come to rest at the left of her spine.
As part of a joint investigation between the Guardian and factchecking platform Factnameh, the images have been assessed by a panel of health and ballistics experts outside Iran, including an emergency medicine doctor, a radiologist and a trauma imaging specialist. The images have also been assessed by an independent Iranian former ER doctor, who says the software used to capture them is consistent with that used in the hospital concerned and that they show no signs of tampering. Descriptions of the extent of the likely injuries are based on the doctors’ assessments, although they caution that without full medical notes and multiple sets of imaging, they cannot make definitive diagnostic statements about individual patients. Dr Rohini Haar, an emergency doctor, adjunct professor at UC Berkeley and medical adviser to Physicians for Human Rights who has reviewed the files, says the cases are “shocking” in their number and severity. “Using live ammunition and large-gauge bullets against so many individuals is … extremely unusual and notable, even globally.”

A radiologist and trauma imaging expert who has reviewed the images says that the group of patients would constitute “absolutely a mass casualty situation. Even for our large hospitals [in the US] … that would be a mass casualty alert that would overwhelm hospital resources.”
Medical experts note that the images would only reflect patients that doctors think they can save, and who have survived to the point where doctors are able to administer detailed scans. Most people shot by a high-calibre round to the head, for example, “wouldn’t have got to a CT scan”, they say. During a mass casualty event, hospitals are forced to prioritise the cases that are life-threatening but treatable without requiring extensive resources, Haar says, meaning that the scans would only represent a small subset of the injured people who presented that night.
Iran is one of a small number of states where armed forces and police use metal birdshot. While an individual birdshot pellet does not cause as much damage as a bullet, they can still be catastrophic. At long range, when the pellets spray outward, they will hit a crowd indiscriminately. Even a single pellet can cause terrible damage. The X-rays show several cases where just one or two pellets are present in the skull (indicating the person was likely hit at longer range), but they appear to have pierced the eye and come to rest in the socket. At close range, a person may be pierced by hundreds of pellets, causing the destruction of all surrounding soft tissue.

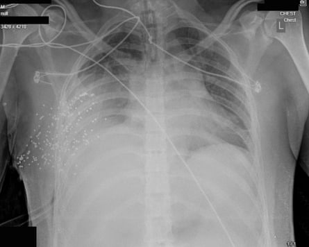
X-rays of the chest of Ali* show more than 174 metal pellets sprayed into his right chest cavity, the metal balls tightly packed, indicating he was shot at extremely close range. His right lung has partially collapsed, and is surrounded by leaking blood and gas. Even with extensive, immediate surgical intervention, his risk of death would be very high, medical experts who have reviewed the images say.
“People think birdshot is less deadly than live ammunition. It’s not,” Haar says. “When you’re firing at point-blank range, all of those metal balls are penetrating – they’re like 100 tiny bullets.”
As well as the violence of the injuries, the X-rays are notable for the patterns they reveal: case after case shows patients shot at short to medium range in the face, chest and genitals.
Twenty-nine patients whose records have been viewed by the Guardian have been shot in the face with birdshot. Safie*, a middle-aged woman, still wears simple jewellery in the first CT scan of her head: the thin chain of a necklace dangles against the dark grey of her neck. Also lit up are the metal beads that have burrowed deep into the tissue of her brain. The scans show the progress of medical teams’ efforts to save Safie: a craniotomy, in which a section of the skull is removed either to perform surgery, or to relieve the pressure of the injured, swelling brain crushing against the skull. Later images show that some metal pellets have been removed from the skull, but more than 20 remain embedded in her head and neck. It is not known whether she survived.

At least nine have been shot in the genital or pelvic area with birdshot or, in three cases, with high-calibre rifles. One woman, middle aged, has been shot in the groin, and has almost 200 metal balls distributed into her thighs and pelvic area. A 35-year-old man has similar injuries: birdshot scattered across his groin. According to the medical analysis commissioned by the Guardian, the injuries could cause “serious disfigurement” as well as “serious injuries to the genitals, perineum, rectum, and urinary bladder”. They conclude: “Bladder and bowel incontinence, sterility and impotence are possible long-term outcomes.”
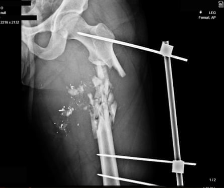
In nine of the patients, the high-calibre bullets are still embedded in the body and clearly visible in the scans. In another seven, the bullet is not visible, but ballistics and medical experts agree that the injuries shown – such as a femur bone shattered along a clear pathway, with metal fragments – are extremely likely to have been caused by a high-velocity bullet. The images showing projectiles have been analysed by two independent ballistics experts, who identify the bullets as full metal jacket rounds consistent with those fired from assault rifles such the AK-47 or KL-133 – weapons used by the IRGC. Full metal jacket bullets often do not deform on impact, holding a clear “bullet” shape. “These are lethal purpose weapons,” says ballistics expert NR Jenzen-Jones, director of Armament Research Services, who has assessed a subset of the images.
In their review of the images, one of the medical analysts describes them as “the kind of injuries you would see in wartime: those are chest shots with a military weapon”. “If you’re firing those kind of weapons at people, you are trying to kill them.”
Haar adds: “These are not the kind of little bullets that we usually see even in policing in the US. These are a whole different level of weapon.”

The X-rays provide further evidence for a growing body of testimony from doctors on the ground treating those injuries, who say damage they have witnessed is catastrophic. Many report conducting dozens of surgeries to remove the eyes of those struck, including teenagers and children. One medic, Dr Ahmad*, whose identity and credentials have been verified by the Guardian, passes on comments from a surgery colleague who treated a very large number of penetrating eye injuries. His youngest patient was a 14-year-old girl, who was brought in by her parents and her brother. “Her face was covered in blood, and her younger brother was shaking uncontrollably,” he says. The parents say the family was at a demonstration when security forces began firing from the roof of a civilian building. “She was shot directly in the left eye [causing] devastating damage. The injury was so severe that the eye could not be saved and had to be surgically removed.”
Ahmad says he has spoken to colleagues across the country who “report a recurring pattern of deliberate gunshot injuries targeting specific organs, most notably the eyes and heart, and less frequently the genital region. These injuries commonly involve penetrating eye trauma, globe rupture, severe intraocular bleeding, retinal damage, and permanent vision loss.” The pattern of injuries “strongly suggests an intent to cause permanent disability rather than unintended harm”, he says, and is “difficult to reconcile with random gunfire in chaotic environments and instead points toward deliberate targeting of vital and symbolically significant body parts”.
Another doctor inside Iran, whose identity and medical credentials were verified by the Guardian, says those arriving in the emergency department ranged from grandparents to toddlers. “They came in with gunshots and also pellets in different locations on the body – to the chest, the abdomen, limbs, genitals … basically the entire body. Live ammunition wounds from pistols, AK47s,” he says. Among the older people was a grandmother in her mid-60s, brought in by her family. She had been caught in the violence when trying to pick up her granddaughter, and was shot at extremely close range by a pellet-loaded shotgun.
“Pellet had spread all across her body,” the doctor says. Staff made two CPR attempts, but the woman died.
“I am still trying to cope with it,” he says. “You can only witness so much.”
* Names have been changed

3 months ago
80

















































